
近日,由温州医科大学附属第二医院(以下简称“温医大附二院”)主办的“瓯岳论道——左心耳封堵技术培训班”首期活动于人文之城温州顺利召开。本次培训班以“教有特色、学有价值、课有新意、CASE有亮点”为培训宗旨,特邀温医大附二院心内科主任官学强教授担任致辞嘉宾,由心血管内科副主任李岳春教授担任会议主持,携手温医大附二院的多位知名专家,以主题讲课与手术演示结合的方式,共享学术新见解,交流手术经验与技巧。本次活动吸引了业内专家同道的关注,近二十位学员齐聚温州,现场求知氛围浓烈,掀起左心耳封堵领域学术热潮。

1.深化理论认识 夯实操作基础


培训活动在官学强教授和李岳春教授的简短致辞下拉开帷幕。来自温医大附二院本院的李嘉教授、刘咏芳副主任、李进副主任、胡有东副主任以及李岳春教授担任授课讲师,以温医大附二院单中心的左心耳封堵治疗团队建设及成果为开场首课,分别从左心耳封堵适应症及患者选择,食道超声在左心耳封堵中的应用,LAmbre™产品介绍和标准操作流程解析,左心耳封堵术并发症的预防、识别与处理,左心耳封堵不同影像下的房间隔穿刺技巧,COAT术式手术操作技巧等内容传经送宝,分享自己在临床中的宝贵经验。







2.实战下见真章 领悟LAAC操作技要



作为本次培训活动的重头戏,李岳春教授为大家带来了5例实战手术演示,分别为1台单封、1台单封血栓封堵和3台一站式手术。

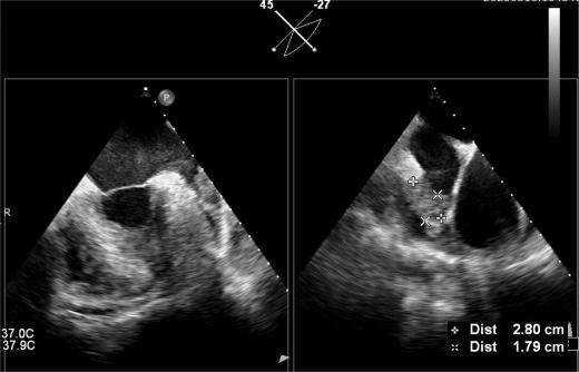
▲血栓位于心耳中段

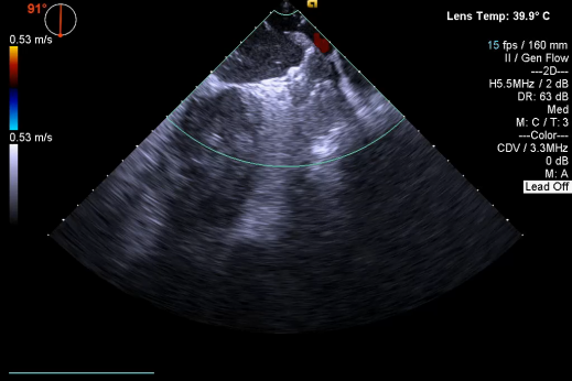
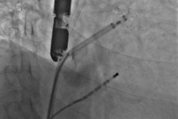
▲半展开固定伞,推送至锚定位锁死血栓

▲释放后,DSA与TEE观察均无残余分流

▲结束后取出脑保护装置,均未见血栓
其中首场公开演示的左心耳血栓封堵病例具有极高难度,患者术前TEE显示左心耳血栓形成伴机化,血栓位于心耳中段,近中端絮状物明显。封堵机会只有一次,选型和操作稍有失误,都会增加手术风险。因此手术采取全麻,并安装了抗栓塞脑动脉保护装置,以减少术中风险。通过TEE引导下测量左心耳大小以及确认左心耳血栓位置,李岳春教授凭借自身丰富经验最终决定使用LAmbre 2632型号,采用推送式植入法将左心耳血栓牢牢锁死于远端,并且封堵器一次成型,封堵效果极佳,结束后取出脑保护装置,均未见血栓,顺利完成了此台高难度的手术,获得了学员们的一致认可。

术后,李岳春教授详细解析每一关键步骤,并总结操作技巧倾囊相授。通过这几场真实的临床手术实操演示,与会学员们更深入地理解了LAAC技术的难点和要点。

恰逢温医大附二院于近日实现了左心耳封堵手术1000例的新突破,李岳春教授与学员们一同进行了千台庆典仪式。此次千例LAAC突破,对温医大附二院而言是一大荣誉里程碑,不仅代表患者对术者和院方信任之深厚,也彰显了术者经验积累之庞大,证实了LAAC作为一项房颤预防性措施为患者带来的切实获益。
李岳春教授会后总结道:“近二十余位学员深度参与此次培训活动,通过理论与实践结合的培训模块对左心耳封堵术进行了系统性学习,为其自身掌握该项技术打下坚实的基础。本次活动的圆满举办折射出广大心血管病医师对LAAC技术的学习需求和热情,未来温医大附二院将持续举办多场培训活动,与临床医师们携手并进,以带动左心耳封堵术在周边地区共同进步。”
教授简介

- 李岳春 -
医学博士,主任医师,博士生导师,温州医科大学附属第二医院心血管内科副主任,国家卫健委心律失常介入培训导师,左心耳封堵全球带教专家。中华医学会心电生理和起搏分会中青年电生理工作委员会委员,中华医学会心电生理和起搏分会左心耳封堵工作委员会委员,中国医促会心律与心电分会全国委员,中国房颤中心联盟左心耳封堵工作组常委,中国心律学会左心耳封堵学组委员,浙江省心血管病学会心源性卒中学组副组长。首批浙江省高校领军人才,浙江省高校中青年学科带头人,浙江省151人才第二层次,浙江省卫生创新人才,浙江省首届医坛新秀,温州名医。